Künstliche Intelligenz für die Notfallmedizin
Neues Verbundprojekt entwickelt eine Software, die CT-Aufnahmen automatisch nach verdächtigen Zeichen für bestimmte Befunde absucht und auf dringliche Probleme hinweist. Ziel des Projekts „Künstliche Intelligenz (KI) für radiologische Bildgebung in der Notfall- und Intensivmedizin“ (KI-RAD) ist es, einen intelligenten Röntgenassistenten zu entwickeln, der dabei hilft, wichtige Informationen aus Röntgen- und CT-Bildern zu filtern, die entscheidend für die weitere Versorgung von Patientinnen und Patienten sind. Hierfür wurden drei kritische Anwendungsbereiche ausgewählt: Schlaganfall, Knochenverletzungen und Röntgenaufnahmen des Brustkorbes (Röntgenthorax).

„Gerade in der Notfall- und Intensivmedizin kann ein intelligenter Röntgenassistent lebensrettend sein, da er schnell Dinge erkennt und dafür sorgt, dass man nichts übersieht“, erklärt der Projektkoordinator Dr. Claus-Christian Glüer. Glüer ist Professor für Medizinische Physik an der Medizinischen Fakultät der Christian-Albrechts-Universität zu Kiel (CAU) und Leiter der Sektion Biomedizinische Bildgebung der Klinik für Radiologie und Neuroradiologie am UKSH, Campus Kiel, und des Molecular Imaging North Competence Center (MOIN CC).
Intelligenter Röntgenassistent soll dringliche Probleme erkennen
Bei Verdacht auf einen Schlaganfall zum Beispiel zählt jede Minute. Wichtig ist vor allem, schnell zu differenzieren, ob ein verschlossenes Blutgefäß die Symptome verursacht oder eine Hirnblutung. „Die Symptome sind in beiden Fällen ähnlich, die Konsequenzen aber ganz andere“, betont Glüer. Im ersten Fall muss die Durchblutung des betroffenen Gehirnbereichs durch Gabe spezieller Medikamente schnellstmöglich wiederhergestellt werden. Im zweiten Fall muss die Blutung gestoppt und Schädigungen durch das austretende Blut müssen vermieden werden.
Bei Verletzungen von Knochen soll das KI-gestützte Analysesystem zum einen zwischen frischen Frakturen infolge eines Unfalls und alten Brüchen, beispielsweise als Folge von Osteoporose (Knochenschwund) unterscheiden. Zum anderen gilt es, instabile Brüche zu erkennen, die eine besondere Vorsicht im Umgang mit Betroffenen erfordern. Bei Wirbelkörperfrakturen besteht die Gefahr, dass das Rückenmark verletzt wird und Lähmungen auftreten.
Den Anwendungsbereich zu Röntgen-Aufnahmen des Brustkorbs betreut Dr. Jörg Barkhausen, Professor der Universität zu Lübeck und Direktor der Klinik für Radiologie und Nuklearmedizin am UKSH, Campus Lübeck. Auch hier geht es darum, Probleme zu erkennen, die einer schnellen Behandlung bedürfen, zum Beispiel bei Atemnot auf Grund eines Pneumothorax oder auch die richtige Platzierung von Kathetern zu überprüfen.
Beispielbilder für automatisierte Diagnoseverfahren
Grundlage für die Entwicklung des intelligenten Röntgenassistenten sind CT-Bilder, die von spezialisierten Radiologinnen und Radiologen interpretiert und kategorisiert wurden. Das KI-System lernt aus diesen Beispielbildern, erkennt Muster und Gesetzmäßigkeiten. Zusätzlich können auch Informationen von anderen Bildgebungsmethoden, etwa der Magnetresonanztomografie (MRT), genutzt werden, um das System zu trainieren. „Im MRT kann man zum Beispiel Ödeme (Flüssigkeitseinlagerungen), die auf eine frische Fraktur von Wirbelkörpern hinweisen, einfacher und klarer erkennen als etwa auf einem CT-Bild“, so Glüer. Künstliche Intelligenz könne diesen Nachteil eventuell ausgleichen.
Potenzielle Anwendungsgebiete für ein KI-gestütztes Analyseverfahren gibt es viele. Zum Beispiel könnten kleinere Kliniken, denen die entsprechende radiologische Expertise fehlt, es nutzen. Auch ein Einsatz zu Trainingszwecken sei vorstellbar. Glüer: „Zunächst einmal müssen wir schauen, wie die Aussagekraft ist, ob wir eine ganz spezifische, aussagekräftige Befundung erreichen. Das wollen wir in dem Forschungsverbund von Fachleuten aus der Radiologie und KI zusammen mit Firmen herausfinden und einen Präprototypen entwickeln.“ Wenn die Aussagekraft gut sei, könne dieser anschließend im klinischen Alltag getestet werden.
-
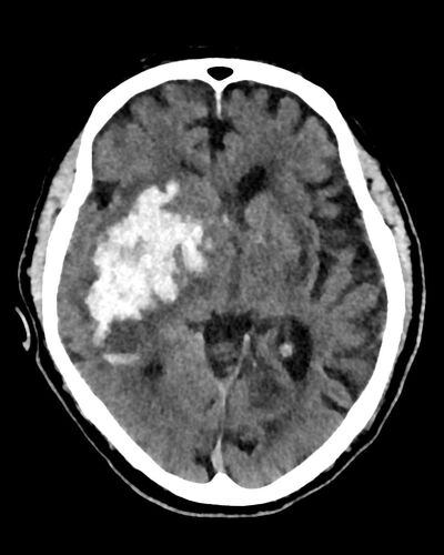
CT-Aufnahmen des Gehirns von Personen mit Schlaganfall: Hirnblutung. © Klinik für Radiologie und Neuroradiologie -
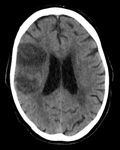
CT-Aufnahmen des Gehirns von Personen mit Schlaganfall: Hirninfarkt infolge eines Gefäßverschlusses. © Klinik für Radiologie und Neuroradiologie
Über KI-RAD
Das auf drei Jahre angelegte Projekt „Künstliche Intelligenz (KI) für radiologische Bildgebung in der Notfall- und Intensivmedizin“ (KI-RAD) ist ein Anwendungsprojekt innerhalb von „KI-Space für intelligente Gesundheitssysteme“ (KI-SIGS). Es wird mit 1,5 Millionen Euro vom Bundesministerium für Wirtschaft und Energie gefördert. Ziel ist die Entwicklung und Bereitstellung von KI-gestützten Analyseverfahren zur Optimierung von Workflow und Befundungsqualität für Bildgebung in der Notfall- und Intensivmedizin, speziell in den Bereichen Schlaganfall, Skelettrauma und Intensiv/Röntgenthorax. Das Projekt startete im April 2020 und endet voraussichtlich im März 2023. Neben der CAU als Koordinatorin sind auch die Universität zu Lübeck, das Universitätsklinikum Hamburg-Eppendorf (UKE), das Universitätsklinikum Schleswig-Holstein (UKSH) sowie die Unternehmen Philips, Hamburg, und mbits, Heidelberg, beteiligt.